short-term-disability

We pride ourselves at TSF Law by providing supplementary information to our clients relevant to each individual's case.

Post Category in LTD Resources

Eyesight Disability: Accommodations at Work

When an individual is dealing with a vision related disability, it often requires a period of adjustment for both them and their workplace. Most people who are dealing with slow vision loss insist on working until their disease progresses to a certain stage where they are deemed to have gone completely blind, or absolutely cannot … Read more

Eyesight Disability: 101

The most severe visual problems one can encounter are the loss of vision and blindness. Experiencing either can be an after effect of an injury or illness, and has an everlasting impact on one’s life. Having a sensory change can be debilitating. In this article we will outline eyesight disabilities and benefits one is entitled … Read more

Mental Health Awareness Week

As the Canadian Mental Health Association states: “Mental Health is more than mental illness. It’s more than being happy all the time. It’s about feeling good about who you are, having balance in your life, and managing life’s highs and lows. Everyone deserves to feel well, whatever their mental health experience. And we all need … Read more

Car Insurance Claims: Top Things To Keep In Mind

The insurance claims process can become convoluted and overwhelming, especially when you are dealing with a medical crisis and/or surviving a traumatic event. It is important that you know the best things to do and pursue when filing a car insurance claim. By following these steps, you are ensuring a smooth navigation through the disability … Read more

Car Insurance Claims: What NOT to Do

When facing a medical illness or injury, it is common to feel overwhelmed and flustered, especially when having to deal with the necessary paperwork and deadlines required by an insurance company. Filing a disability claim means you will be able to access benefits that can aid in the healing process, as well as provide financial … Read more

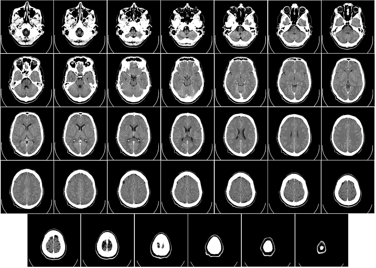
Brain Injury & Pituitary Injury

Brain injuries are diagnosed through imaging tests conducted by a radiologist, and reviewed by a physician. In most cases, an E.R Doctor is the first to identify a brain injury after trauma to the head. Often trauma to the head occurs during a motor-vehicle accident (MVA), a sports related injury, or due to a person … Read more

School Bus Injuries

Many children across Canada rely on school bus transportation to and from centres of education, as well as a means of transport for athletic events and school excursions. A school bus is designed to protect children in case of a crash; Ontario bus drivers are licensed to specifically drive school buses, receive specific training and … Read more

Stress & Denied Disability Claims

People seek short-term disability and long-term disability benefits when they are facing an injury or illness that prohibits them from being able to carry out their current employment duties, or ability to seek and carry out alternative work duties for a period of time. When someone files a disability claim through their group benefits, they … Read more

Introduction to Industrial Alliance

Industrial Alliance Financial Group (iA) is an established insurance provider to small and large businesses. While more popular in the province of Quebec, IA is used by employers in Ontario to provide there employees with group insurance plans that provide medical care, paramedical care, as well as short-term disability and long-term disability insurance. iA’s short … Read more

Great-West Life Appeal Process

If you are receiving healthcare benefits from Great-West Life (GWL), through your employer, then you are able to file a long-term disability claim to receive paid leave and financial support for the time you are recovering from an illness or injury. Unfortunately, many employees are faced with rejected disability claims when seeking coverage in these … Read more